Le Dr Guillaume Lebourg vous redonne le sourire
La chirurgie pré-implantaire


Voici quelques radiographies et images de scanner pour illustrer les techniques de greffe osseuse préimplantaire.
Vous trouverez des explications plus précises ici.

Le sinus lift en image
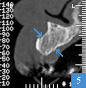
coupe panoramique de dentascanner, dent 26 absentecoupe coronale de dentascanner, hauteur osseuse de 3 mm seulement
Dentascanner initial
1a : 1ère molaire supérieure gauche (dent 26) absente et os résiduel du maxillaire fin
1b : os sous le sinus mesuré à 3 mm de hauteur ; pose d'un implant impossible en l'état
coupe panoramique de dentascanner, 4 mois après la greffe osseusecoupe coronale de dentascanner, hauteur osseuse de 12 mm
Dentascanner 4 mois après la greffe
2a : greffon osseux visible, positionné à l'endroit où il manquait de la hauteur d'os
2b : os sous le sinus mesuré à 12 mm de hauteur ; pose d'un implant possible
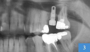
implant dentaire en place
3 : implant dentaire en place


La greffe d'apposition illustrée
coupe panoramique de dentascanner, dent 22 absentecoupe coronale de dentascanner, largeur osseuse de 5 mm seulement
Dentascanner initial
4a : 2ème incisive supérieure gauche (dent 22) absente
4b : crête osseuse résiduelle mesurée à 5 mm de largeur ; pose d'un implant impossible en l'état
4 mois après la greffe osseuse, largeur de 9,5 mm
Dentascanner 4 mois après la greffe
5 : largeur de la crête osseuse mesurée à 9,5 mm ; pose d'un implant possible
implant dentaire en place
6 : implant dentaire en place
(merci au Dr L. Tournier pour cette radiographie)
© Dr G. Lebourg