Le Dr Guillaume Lebourg vous redonne le sourire
Comprendre la chirurgie orthognatique ou chirurgie des mâchoires


Pourquoi ai-je besoin d’une chirurgie des mâchoires ?


L’occlusion dentaire correspond à la façon dont les arcades dentaires « s’emboitent » l’une avec l’autre.

Lorsque qu’il existe une malocclusion, cela peut se traduire par des dents mal alignées ou des arcades dentaires qui coïncident mal. Dans la majeure partie des cas, le traitement orthodontique seul permet de réagencer les dents à l’aide d’un appareil orthodontique (bagues ou appareils multi-attaches).

Dans certains cas, cette occlusion anormale est la conséquence de la mauvaise dimension et/ou position d’une ou des deux mâchoires. Dans ces situations, le traitement orthodontique doit être associée à une chirurgie que l’on nomme chirurgie orthognatique.

Sauf cas complexe, l’indication d’une chirurgie orthognatique se fait lors du bilan initial à l’aide de l’examen clinique, des radiographies (panoramique dentaire, téléradiographies crânio-faciales de face et de profil) et des moulages d’études.

Les objectifs d'une telle prise en charge sont d'obtenir une occlusion dentaire normale et durable, si possible sans extraire de dent définitive, un joli sourire et un profil harmonieux.

Béance prognathisme
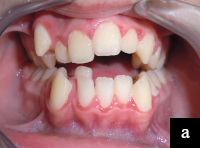
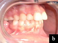
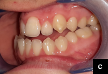
Voici 3 exemples de malocclusion justifiant une prise en charge chirurgicale :
a : béance liée à une endognathie maxillaire et à une promandibulie
b : rétromandibulie - c : promandibulie


Quand l'intervention aura-t-elle lieu ?


Généralement, la chirurgie ne précède pas l’orthodontie mais nécessite justement une préparation orthodontique des arcades dentaires, qui peut durer 12, 18 voire 24 mois, et qui consiste à repositionner les dents de façon idéale sur les mâchoires pour que le jour de la chirurgie les arcades dentaires coïncident parfaitement.

Il faut parfois prévoir 2 interventions chirurgicales, notamment lorsque la mâchoire supérieure (maxillaire) est de largeur insuffisante. Dans cette situation, le maxillaire est élargi lors d’une première chirurgie. Le traitement orthodontique avec bagues débute une fois la consolidation osseuse acquise pour préparer à la seconde opération plusieurs mois après.

L’appareil orthodontique n’est pas retiré juste après la chirurgie. Il faut compter environ 6 mois de finitions orthodontiques pour parfaire l’occlusion.

Le Dr Lebourg voit les patients pour cette chirurgie au moins deux fois en consultation avant l’intervention. Cela permet au patient de recevoir une information personnalisée et d’avoir toutes les réponses à ses questions.


Comment se passe l’intervention chirurgicale ?


Elle se déroule sous anesthésie générale au cours d’une hospitalisation pouvant durer de 1 à 2 jours selon le type de chirurgie.

Toutes les cicatrices sont faites à l’intérieur de la bouche et ne laissent ainsi pas de séquelle visible.

La chirurgie dure de 1 heure et demie à plusieurs heures, encore une fois selon le type de chirurgie nécessaire. Une chirurgie des deux mâchoires est nécessairement plus longue qu’une chirurgie n’intéressant que l’une d’entre elles.

Les mâchoires sont séparées (ostéotomie) à l’aide d’un appareil à ultrasons (piézotome), plus précis pour le chirurgien, et plus délicat pour le corps du patient. L’occlusion dentaire est rectifiée puis les mâchoires sont maintenues en place avec un système de plaques et de vis, en titane, fines et non palpables ensuite.

En fin d'intervention, pour harmoniser le profil du patient (profiloplastie), un geste appelé génioplastie peut-être réalisé sur le menton. Le patient en aura été préalablement informé bien évidemment.


Quelles sont les complications possibles ?

Comme toute chirurgie, il existe des risques de saignement pendant ou après l’intervention et d’infection post-opératoires.

S’il survient un saignement, celui-ci est géré pendant l’opération et il est exceptionnel que cela nécessite une reprise chirurgicale.
Les infections post-opératoires sont prévenues grâce aux mesures d’hygiène systématiques utilisées au bloc opératoire, à une antibiothérapie pendant l’opération. Ce type de complication reste rare.

Lorsque la mâchoire inférieure (mandibule) est opérée, il y a un risque d'engourdissement de la lèvre et du menton après l’opération. Celui-ci peut mettre plusieurs mois à récupérer. L’utilisation du piézotome limite ce risque. Malgré cet engourdissement, le patient peut tout de même sourire, parler et manger sans que quiconque ne se rende compte du trouble. Il n'y a pas de paralysie.


Comment se déroule la période post-opératoire ?


C’est une chirurgie réputée inconfortable surtout.

Cela est lié à l’œdème (gonflement) post-opératoire assez conséquent qui apparait sur les cinq premiers jours et qui disparait progressivement ensuite, et à l’alimentation qui doit être liquide la première semaine puis molle pendant les semaines suivantes.

Habituellement les douleurs post-opératoires sont facilement soulagées par les antalgiques classiques.

Pour l’œdème, le patient bénéficie d’un masque réfrigérant qui assure une fraîcheur permanente sur le visage et limite ainsi l’ampleur du gonflement. Des poches de glace sont une alternative à ce masque même si elles demandent plus de logistique.
Un kinésithérapeute de l’établissement assure une séance de drainage lymphatique, toujours pour faciliter la disparition de l’œdème. Les séances sont à poursuivre après la sortie de l’hôpital auprès du kinésithérapeute habituel du patient.
Une prescription de corticoïdes complète les deux mesures précédentes.

Une consultation avec un membre de l'équipe de diététique de l’hôpital est organisée avant la sortie afin de donner tous les conseils nutritionnels nécessaires.
Des compléments nutritionnels sont systématiquement prescrits pour limiter une éventuelle perte de poids.

Les activités physiques et sportives sont interdites pendant les six premières semaines post-opératoires.

Le Dr Lebourg, en dehors de toute complication, revoit son patient une semaine et six semaines après la chirurgie, avec des radiographies de contrôle. Enfin, une consultation à un an est programmée pour évaluer le résultat à distance de l’intervention et pour discuter de l’ablation des plaques.

Si cette page ne vous suffit pas, vous pourrez poser toutes vos autres questions au chirurgien lors de vos consultations pré-opératoires ou consulter la fiche d'information ici.



Aller visiter la galerie de photos "Chirurgie orthognatique" pour avoir une idée des résultats obtenus.
© Dr G. Lebourg