Le Dr Guillaume Lebourg vous redonne le sourire
La chirurgie orthognatique, en images


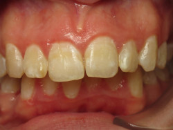
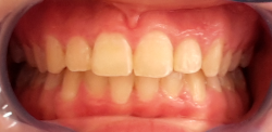
Voici les photographies avant chirurgie (ligne du haut)/après chirurgie (ligne du bas) de plusieurs patients opérés par le Dr Lebourg.
Tous ont donné leur consentement pour l'utilisation de leur image.
Vous trouverez des explications détaillées concernant ce type de chirurgie ici.

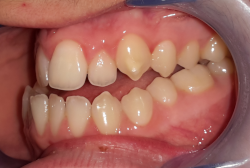
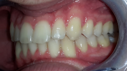
Patient n°1 :

Première chirurgie pour élargir la mâchoire supérieure, puis seconde chirurgie des 2 mâchoires et du menton
Pas d'extraction de dent définitive, hormis les dents de sagesse
homme de facehomme de profilocclusion dentaire anormale
homme de face en post-opératoirehomme de profil en post-opératoireocclusion dentaire normale

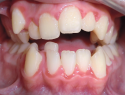
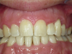
Patiente n°2 :

Impaction de la mâchoire supérieure, avancée de la mâchoire inférieure et chirurgie du menton
Correction du sourire gingival
femme de facefemme de profilsourireocclusion dentaire anormale
femme de face en post-opératoirefemme de profil en post-opératoiresourire en post-opératoireocclusion dentaire normale


Patiente n°3 :

Impaction de la mâchoire supérieure, avancée de la mâchoire inférieure et chirurgie du menton
femme de facefemme de profilsourireocclusion dentaire anormale
femme de face en post-opératoirefemme de profil en post-opératoiresourire en post-opératoireocclusion dentaire normale
Patiente n°4 :

Avancée de la mâchoire supérieure, recul de la mâchoire inférieure et chirurgie du menton
femme de facefemme de profilocclusion dentaire anormale
femme de face en post-opératoirefemme de profil en post-opératoireocclusion dentaire normale


Patient n°5 :

Avancée de la mâchoire inférieure
homme de facehomme de profilocclusion dentaire anormale
homme de face en post-opératoirehomme de profil en post-opératoireocclusion dentaire normale
Patient n°6 :

Avancée de la mâchoire inférieure et avancée du menton
homme de facehomme de profilocclusion dentaire anormale
homme de face en post-opératoirehomme de profil en post-opératoireocclusion dentaire normale
© Dr G. Lebourg